メディア概要
Life in the Fast Lane 提供の X線画像等のメディア や 自身で用意した画像、動画などをモニターに表示することも可能です。
メディアリストの編集
鉛筆アイコンをタップしメディアリスト編集画面へ入ります。
メディアライブラリーは、デフォルトで用意された メディア と インポートされたメディアを扱うことができます。
メディア
以下のカテゴリに分かれています。
- Head (頭部)
- Chest (胸部)
- Abdomen (腹部)
- Spine and Pelvis (脊柱と骨盤)
- Upper Limb (上肢)
- Lower Limb (下肢)
加えたいメディアをタップし右のリストに表示します。
メディアは複数加えることが可能です。
赤マイナスボタン をタップし削除します。 また、=ボタンをドラッグすることで順番を変更します。
オレンジのチェック をタップし確定します。
画像や動画ファイルがリストに表示されシナリオに加えることができます。
画像がタップされチャートに送信されます。 送信後は、Sentのメッセージが表示されます。
使用中のモニタースクリーンに表示するには、'Show on Monitor'(モニターに表示) をタップします。
メディアのインポート
メディアをインポートするには、+アイコンをタップします。
画像選択画面へ入ります。
インポートするメディアを選択し、メディアタブ画面に表示します。
鉛筆アイコンをタップし、編集します。
- メディア名の変更
- メディアの削除
- 分類別に分けることが可能です。 General(一般), Ultrasound(超音波), Laryngoscopy(喉頭鏡), Bronchoscopy(気管支鏡) Radiography(X線撮影)
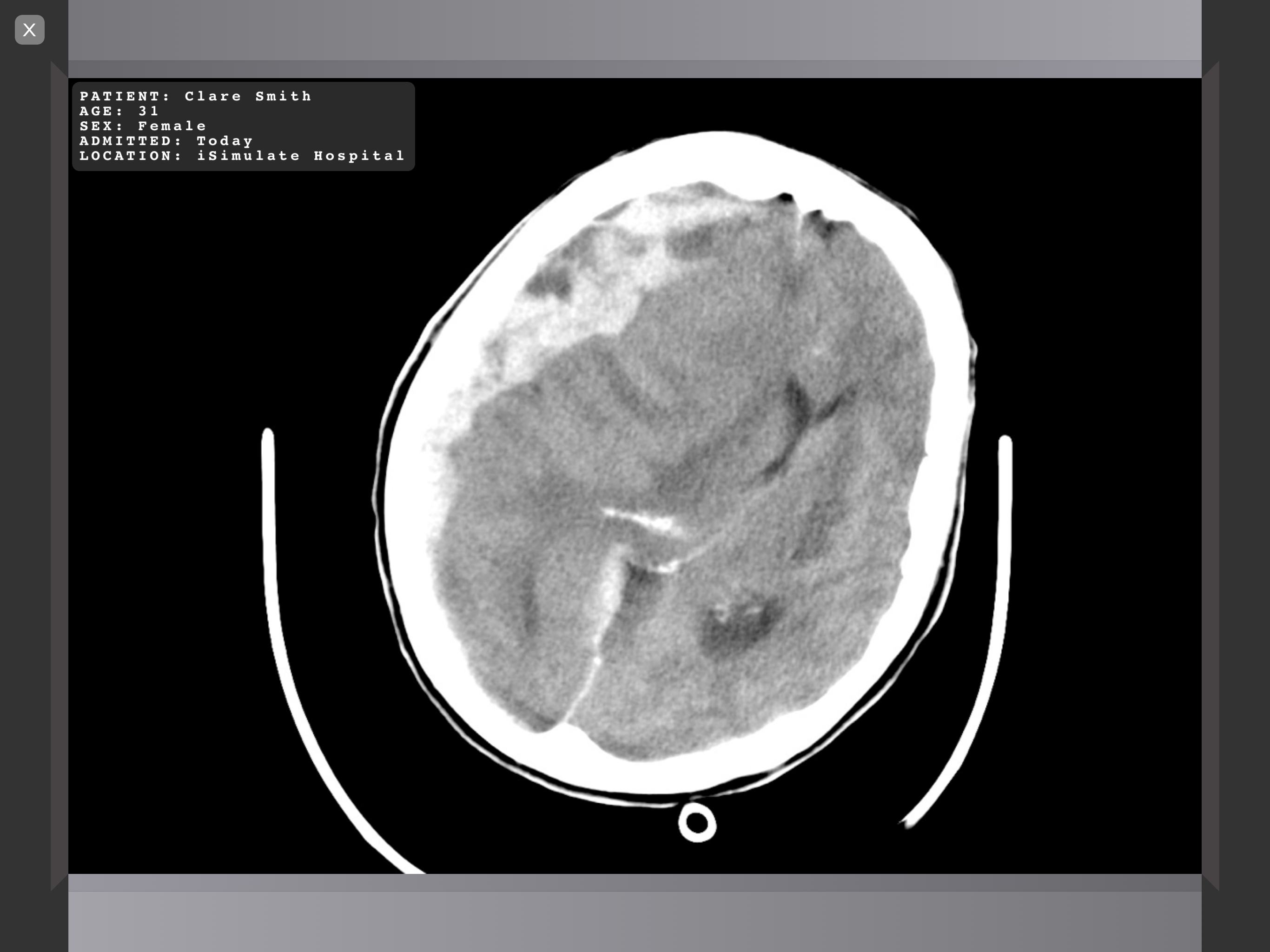
下の画像例のようにモニターへ表示される場合、Scenario Information(シナリオ情報)がメディア上にテキストで追加されます。
General(一般), Ultrasound(超音波), Radiography(X線撮影) 分類のメディアが対象です。
General(一般)
Ultrasound(超音波)
Laryngoscopy(喉頭鏡)
Bronchoscopy(気管支鏡)
Radiography(X線撮影)
コメント
0件のコメント
サインインしてコメントを残してください。